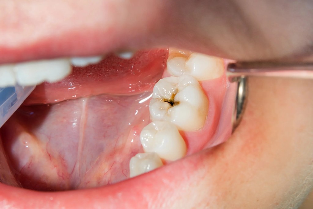
Do you have a cavity? If so, you may not know it. In the early stages, cavities don’t always cause pain or discomfort. As they progress, cavities can lead to toothaches and discolouration.
With cavities, early intervention is key. Dental fillings stop cavities in their tracks. By getting a dental filling, you can prevent further damage to your tooth.
If you have a toothache, you’re far from the only one; countless Canadians develop cavities each year. With a tooth-coloured filling, no one will know you’ve had dental work done!
At Dental House, dental fillings are one of the most common dental procedures. Preserve your smile and prevent discomfort with dental fillings.

What Are Dental Fillings?
When plaque and tartar build-up on your teeth, they can produce acids that erode the enamel of a tooth. As the structure decays, you’re left with small holes in your teeth called cavities. Bacteria can enter those holes and lead to a root canal infection.

Your Saskatoon dentist can use a dental filling to repair the cavity and restore the functioning of your tooth. By getting a cavity filled, you can protect your natural tooth and restore its functioning.
When do you need a dental filling?
If you notice these signs, it may be time to call your dentist:
- Sensitivity when consuming sweets, hot or cold foods
- Food is getting stuck in teeth
- There’s a hole in the tooth
- Broken down tooth structure
- The tooth is turning yellow, grey, or brown

What Are The Different Types Of Dental Fillings?
Depending on the location of the cavity and how big it is, your dentist will use one of the following filling materials:
Tooth-coloured fillings
Composite and porcelain fillings are some of the most popular dental fillings; they’re entirely metal-free. The tooth-coloured material is a great fit for most patients. It blends in with the surrounding teeth, so no one will know you’ve had dental work done. On top of that, composite fillings are durable and last for many years.
Metal fillings
Metal fillings are more noticeable than composite or porcelain fillings, but they make up for it in terms of durability and longevity. Due to their flashy colour, these dental fillings are best suited for the back molars.
Prevention
What can you do to prevent a cavity in the first place? Take note of these oral care tips:
- Visit the dentist every 6 months. When you schedule regular dental cleanings, your dentist can remove any plaque or tartar from your teeth.
- Brush and floss every day. As you’ve probably guessed, one of the best ways to prevent tooth decay is by taking great care of your teeth! We recommend brushing twice a day and flossing at least once.
- Avoid sugary snacks. Do you have a sweet tooth? It’s hard to turn down cookies, cake, and soda, but it’s for the best if you want to stay cavity-free.

The Dental Filling Procedure
Getting a cavity filled is easier than you think. At your dental appointment, here’s what you can expect:
First, your dentist will numb your mouth using a local anesthetic. You won’t feel anything during your procedure, so you don’t need to worry about experiencing pain. If the cavity is on the surface layer of the tooth, the numbing agent may not be necessary.

Next, the dentist will drill away the decayed tooth material. In that space, they’ll clean the tooth and apply the dental filling. After the material is bonded to your tooth, your dentist will shape it so it fits comfortably when you bite down.
Aftercare
You’ve just left the dental office with a brand-new filling. What should you do to take care of it?
We recommend waiting until the freezing wears off before you eat. Otherwise, you may bite your cheek or tongue without realizing it. After that, try to avoid eating any overly hard or chewy foods.
On the day following your appointment, the area may feel tender or sensitive. If so, avoid chewing food near the affected tooth. It should return to normal on the following day.
Frequently Asked Questions
We’ve put together a Q&A on the questions our dentists are commonly asked:
How long will a dental filling last?
Most fillings last 10 or more years. You can make your dental filling last longer by taking great care of your teeth!
What can I do to treat a toothache?
Ibuprofen can help reduce pain and swelling. You can also apply an ice pack to the outside of your tooth. Call our dental office as soon as possible to schedule treatment.
After finding out I have a cavity, how soon should I book another appointment?
The sooner, the better! Early intervention will keep a cavity from developing into a deeper issue.
Book Your Appointment Today!
It’s time to put an end to that nagging toothache. At Dental House, we can help with that. Give us a call at (306) 954-7801 to book your dental filling, or fill out a contact form online.